Expanding Horizons: Building Beautiful Smiles from the Foundation
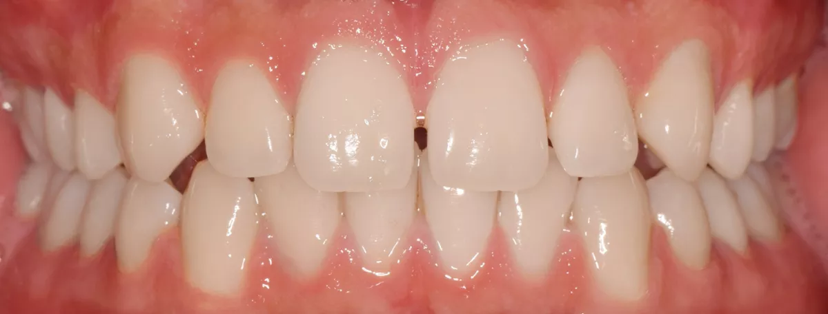
Unlock the potential of a confident smile with Griffin Orthodontics' Palatal Expanders. Our expert team is dedicated to providing high-quality orthodontic care in a friendly and inviting atmosphere. Palatal expanders are a transformative solution for widening the upper jaw, improving dental alignment, and enhancing overall oral health. Whether you're a concerned parent or an adult considering orthodontic treatment, our palatal expanders can help you achieve the smile you've always wanted.
Benefits of Palatal Expanders (Expander Braces)
- Improves Bite Alignment
- Minimizes Need for Tooth Extractions
- May Improve Breathing & Airway Function
- Shortens Overall Orthodontic Treatment Time
What Exactly Is a Palatal Expander?
What Is a Palatal Expander?
A palatal expander — sometimes called a palate expander or rapid palatal expander (RPE) — is a custom-fitted orthodontic device that gently widens the upper jaw over time. It’s placed along the roof of the mouth and works by gradually separating the two halves of the palate, encouraging new bone to form in the space between them.
Children and pre-teens are ideal candidates for this treatment because the palate hasn’t yet fully fused. That means the jaw is still responsive to gentle, consistent pressure — and the body does most of the heavy lifting naturally. Once growth is complete and the palate has hardened, this type of non-surgical widening is no longer possible, which is why timing matters so much.
Why Is A Palatal Expander Used?
Why Would My Child Need a Palatal Expander?
Palatal expanders are typically recommended when a child’s upper jaw is too narrow to properly align with the lower jaw, a condition known as a crossbite. They’re also used when there isn’t enough space in the mouth for permanent teeth to come in correctly, which can lead to crowding, impacted teeth, and bite problems down the road.
Some of the most common reasons we recommend a palatal expander include:
- Crossbite — when upper teeth sit inside the lower teeth on one or both sides
- Crowding — when the jaw doesn’t have enough room for all the adult teeth
- Impacted teeth — when teeth are blocked from erupting in the right position
- Narrow upper arch — which can affect chewing, breathing, and facial symmetry
Addressing these issues early (during what orthodontists call Phase I or interceptive treatment) can significantly improve outcomes and simplify any future orthodontic care your child may need.
How Does A Palatal Expander Work?
How Does the Expander Actually Work?
Your child’s palatal expander is custom-made to fit their mouth precisely. Once it’s cemented in place by our team, you’ll receive a small key — and for a period of time, you’ll use that key to turn a tiny mechanism in the center of the device. Each turn creates a very small, gradual amount of expansion. Most parents find this quick and easy to manage, and kids adjust to it faster than you might expect.
The active expansion phase usually lasts a few months, depending on your child’s individual treatment plan. After that, the expander stays in place for a retention period — typically several more months — to allow the new bone to fully solidify and stabilize. Throughout the entire process, we’ll be right there with you, monitoring progress and answering any questions at each appointment.
LightForce is the only fully customized braces system in the world. Every bracket is 3D-printed to match the unique shape and anatomy of each individual tooth, rather than using standard off-the-shelf brackets. This results in more precise tooth movement, potentially shorter treatment times, and superior aesthetics compared to conventional ceramic braces.
The LightForce ceramic bracket material is highly stain-resistant. However, the elastic ties that hold the wire in place can pick up color from dark foods and drinks like coffee, tea, and red wine. These ties are replaced at every adjustment visit, so any discoloration is temporary.
Yes, there is usually just a small learning curve. Most young musicians find that after a week or two of practice, they can play their trumpet, flute, or clarinet just as well as before. We provide plenty of orthodontic wax to help cushion the lips during those first few practice sessions, ensuring your child can stay active in their school band or orchestra.
This is a common concern for parents when deciding between Spark™ Clear Aligners and fixed braces. Because aligners are removable for eating and sports, they can occasionally be misplaced in a school cafeteria or locker room. If your child struggles with organization or is prone to losing track of their belongings, traditional or LightForce™ 3D-printed braces might be the better choice. These “fixed” options remain bonded to the teeth throughout treatment, removing the responsibility of tracking removable trays and ensuring the process stays on schedule without the added cost or delay of ordering replacement aligners.
Absolutely. We work with many local Milwaukee schools to find appointment times that minimize time away from the classroom. Many parents prefer starting treatment during a school break so their child has a few days to get used to the feel of braces, but we successfully start new smiles all year round.
Resources & Support
Straight Talk: Navigating Your Orthodontic Journey
From expert advice on choosing the right braces to tips on maintaining your oral health during treatment, our articles aim to empower you on your journey to a beautiful, confident smile.
View All Resource & Eduction Articles »
How to Choose an Orthodontist in Milwaukee (5 Things to Check)
How to Choose an Orthodontist in Milwaukee: 5 Things to…
What Questions Should You Ask at Your First Orthodontic Consultation?
At Griffin Orthodontics, we offer completely free initial consultations at…
Unlocking a Perfect Smile: The Benefits of Jaw Expanders
The Orthodontic Patient Guide of Palatal Expanders Unlocking a perfect…
Understanding the Average Cost of Braces in Milwaukee
Milwaukee Braces Cost Guide: What to Expect and How to…
What Not to Eat With Braces: A Parent’s Guide
Getting braces is a big milestone—especially for kids and teens.…
It’s Never Too Late: The Ultimate Guide to Modern Adult Orthodontics in Milwaukee
Did you know that adults make up over 27% of…
Find Your Perfect Braces: A Style Guide for All Ages
Introduction Choosing the right braces is a significant decision for…
Can I Use a Payment Plan for Clear Aligners or Braces in 2025?
Orthodontic treatment is more than just straightening teeth—it’s an investment…
Limited Time: Free Whitening Kit at Griffin Orthodontics!
Brighten Your Smile – On Us! Now through August 31,…
Summer Smoothies: The Perfect Solution for Kids with Palatal Expanders
Adjusting to a palatal expander can be uncomfortable—especially when it…